
「短期治療」を希望される方へ
- 1回の時間を長く確保
- 精密機器のフル活用

03-3725-8214
WEB予約

患者さんの話をよく聴き、
共に治す歯科治療。
東急大井町線「緑が丘駅」から徒歩10秒

PICK UP
可能な限り

再発しにくく、長く安定した
口内環境をつくるために、
私たちは患者さんのお話を
しっかりと「傾聴」し、
すべての工程を「丁寧」に進め、
マイクロスコープや拡大鏡を用いた
「精密」な治療を行います。
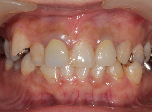
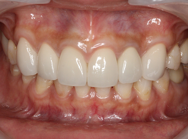
※ 写真中央のスライダを左右にドラッグして画像を比較できます


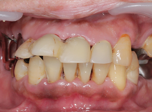
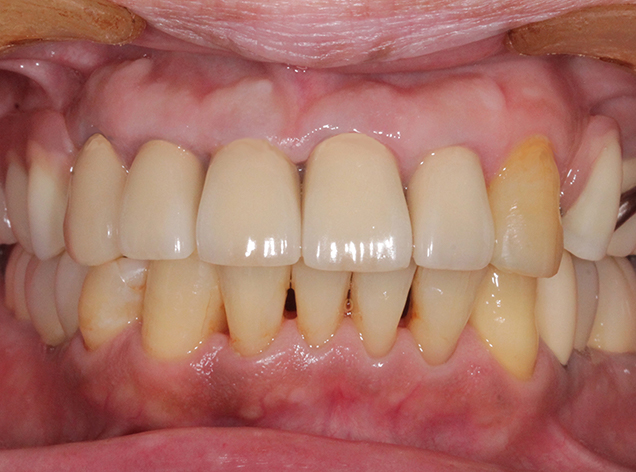
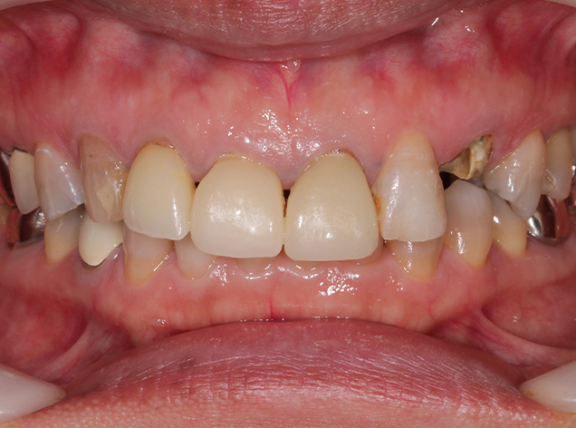
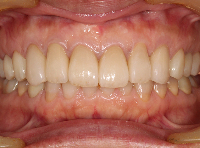
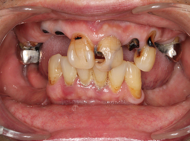
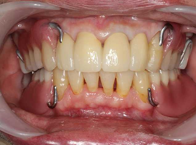
歯周病により歯並びが乱れ、うめく噛めない状態でした。歯周治療の後、矯正治療を行い、目立たない義歯を用いて改善しました。


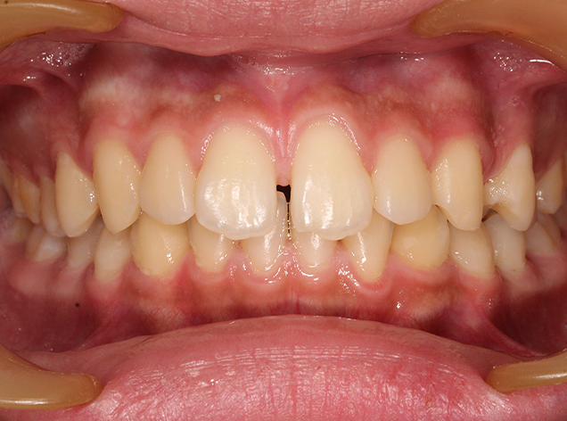
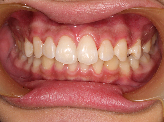
他の医院にて矯正治療を勧められておりましたが、診査の結果、前歯の詰め物によって改善を行いました。


古い被せ物を審美的にかつ機能的な噛み合わせの位置で改善した症例。


歯並びの改善を行ったのちに、セラミックにて被せ物を行いました。


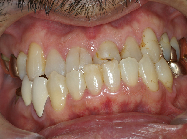
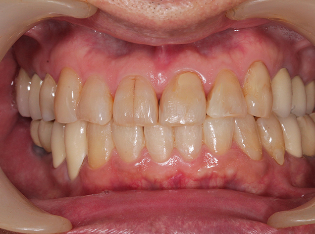
歯がボロボロでも綺麗に安心して噛める状態に。セラミックの被せ物と装着感の良い義歯で治療。


顎の位置を診査し、無理なく安全に噛める位置にインプラントを入れて噛み合わせを回復しました。
全ての治療でマイクロスコープを使用し、 「精密歯科治療」を実践
当院ではマイクロスコープや高倍率ルーペを使用し、視野を拡大した上で治療を行っています。
肉眼の十数倍まで拡大できるマイクロスコープは、
全国約7万の歯科医院の中で導入しているのはわずか5%といわれています。
治療部位を鮮明に確認することで、歯の削りすぎや病巣の見逃しを防いでいます。

マイクロスコープ普及率







東京都目黒区の歯医者「みどりが丘歯科クリニック」では、虫歯や歯周病などの一般歯科から矯正歯科・審美歯科・インプラントまで
幅広く対応し、患者さん一人ひとりに合わせた最適な治療を行っています。痛みや不安に最大限配慮し、優しく丁寧な治療を
心がけています。東急大井町線『緑が丘駅』より徒歩5分。駅チカ、土曜日も診療しています。

CONSULTATION
まずは「お話」から
お子さまからご年配の方まで世代を問わず
お口の健康を見守ります。
虫歯などの一般歯科からインプラントなどの
専門治療までご相談ください。

東京都目黒区緑が丘の歯医者「みどりが丘歯科クリニック」。緑が丘駅徒歩5分の通いやすい歯科医院です。当院のホームページをご覧いただきありがとうございます。治療では「痛みを抑える/削る量を最小限にする/神経を守る/抜歯を回避する」ことを重視しています。虫歯・歯周病などの一般歯科のほか、インプラント、入れ歯、ブリッジ、審美治療(セラミック・ホワイトニング)、歯列矯正(大人・子供)、根管治療、親知らずの抜歯、小児歯科、予防歯科(クリーニング)まで総合的に対応します。当院のコンセプトは「歯を残すこと」。質の高い治療を求める方は、まずはご相談ください。