日本歯周病学会「専門医」等が在籍
歯周病の
プロフェッショナルチームによる
高度な治療

- お薬で治す「歯周内科治療」
- 「レーザー」で原因菌にアプローチ
- 「FMD療法」にも対応
~セカンドオピニオンも可能です~





| 2005年 | 日本大学松戸歯学部 卒業 |
|---|---|
| 2005年 | 都内 歯周病専門医院 副院長 |
| 2012年 | 都内 法人歯科医院 院長 |
| 2013年 | みどりが丘歯科クリニック 開設 |



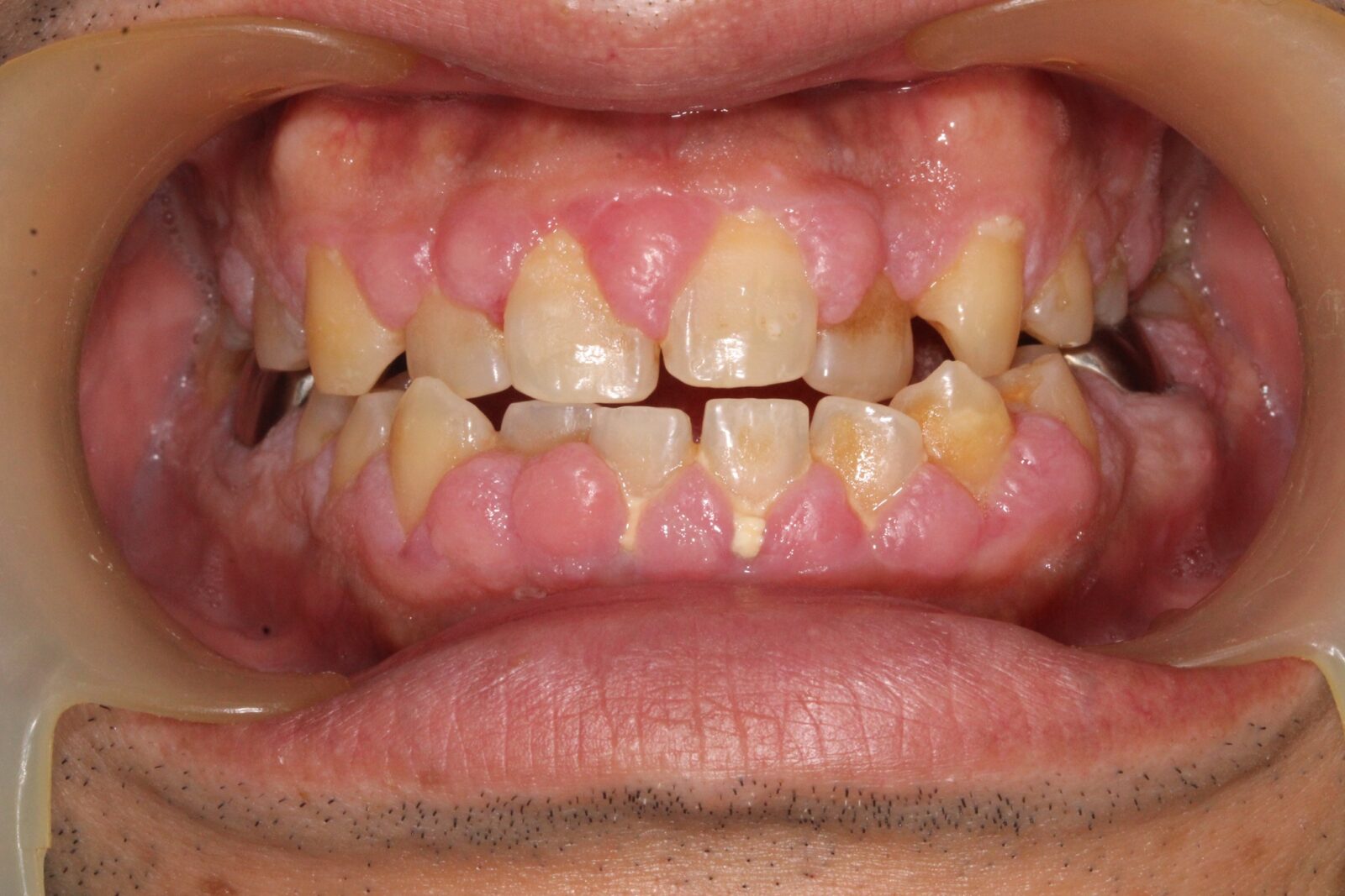
このページにお越しになった方のほとんどは、以下のお悩みのいずれか、または複数をお持ちではないでしょうか。




噛み合わせの検査です。この検査では、歯にかかる力のバランスが分かります。特定の歯に集中して負荷がかかる噛み合わせは、歯茎や骨への負担が大きく、歯周病の炎症を悪化させる原因になります。嚙み合わせを整えることは、歯周病治療の効果を高めるとともに、歯を長持ちさせることにもつながります。
























当院では、患者さんが抱えていらっしゃるお口のお悩みや疑問・不安などにお応えする機会を設けております。どんなことでも構いませんので、私たちにお話ししていただけたらと思います。
ご興味がある方は下記からお問い合わせください。
